Это вторая часть серии из двух публикаций, цель которой — обобщить ответы на наиболее распространённые вопросы о пародонтологической помощи, с которыми сталкиваются стоматологи в повседневной практике.
Первая часть материала: 20 вопросов о пародонтологии в общей стоматологической практике. Часть 1
1. Как лечить пациентов с лекарственно-индуцированным разрастанием десны?
Лекарственно-индуцированное разрастание десны в настоящее время классифицируется как форма гингивита, индуцированного зубным налётом, согласно классификации заболеваний и состояний пародонта, принятой на пародонтологическом конгрессе 2017 года. Это признание отражает понимание того, что некоторые лекарственные препараты могут изменять воспалительно-иммунный ответ на накопление зубного налёта, и что улучшение контроля налёта приводит к уменьшению степени разрастания десны.
Термины «увеличение/разрастание десны» или «гиперплазия/гипертрофия десны» являются обобщающим клиническим описанием, которое не требует постановки диагноза на основании гистологической картины. Это состояние представляет собой сочетание процессов, включающих гиперплазию и гипертрофию различных клеточных типов, усиленное образование внеклеточного матрикса и наличие воспалительного компонента, что оправдывает использование неспецифичного термина «разрастание».
Лекарственно-индуцированное разрастание десны может наблюдаться при приёме следующих групп препаратов:
- Блокаторы кальциевых каналов (например, амлодипин),
- Иммуносупрессоры (например, циклоспорин),
- Противосудорожные средства (например, фенитоин).
Первые признаки изменений, как правило, появляются через 1–3 месяца после начала приёма препарата. Считается, что существуют минимальные пороговые уровни концентрации данных лекарств в плазме крови, ниже которых развитие лекарственно-индуцированного увеличения десны маловероятно. Однако доказательная база по этому вопросу остаётся ограниченной, а данные о распространённости варьируют значительно.
Клиническая картина зависит от вызывающего препарата: фенитоин вызывает преимущественно фиброзное, плотное, розовое увеличение, тогда как блокаторы кальциевых каналов чаще связаны с более васкулярным разрастанием. Межзубные сосочки становятся увеличенными, приобретают зернистую, бугристую поверхность, и могут разрастаться до узловатой и дольчатой формы, когда ткани сливаются, распространяясь на маргинальную и прикреплённую десну.
Обычно увеличенные ткани имеют две составляющие:
- Фиброзную — с избыточным отложением коллагена;
- Воспалительную — инициированную накоплением бактериального налёта.
Хотя эти компоненты представляют собой разные патогенетические процессы, они почти всегда наблюдаются совместно. Роль биопленки в патогенезе лекарственно-индуцированного увеличения десны в настоящее время считается важной, и большинство исследований указывают на то, что наличие налёта является необходимым условием для развития гиперплазии.
Этапы ведения пациента на практике
- Сбор актуальный медицинский анамнез, включая лекарственный анамнез для всех пациентов.
- Консультация с лечащим врачом пациента, чтобы выяснить, возможно ли заменить препарат альтернативным. Это может быть выполнено после начальной терапии или сразу, если разрастание выражено. Необходимо подчеркнуть, что решение о замене препарата принимает исключительно лечащий врач, а роль стоматолога заключается только в консультировании. Решение о замене препарата будет зависеть от оценки потенциальной пользы по сравнению с медицинскими рисками. Тем не менее, хирургическое лечение без коррекции лекарственной причины является нецелесообразным. Поэтому при наличии альтернативных препаратов — что имеет место, например, при замене циклоспорина на такролимус или блокаторов кальциевых каналов на диуретики, β-блокаторы или ингибиторы АПФ, — вопрос о замене медикамента следует рассматривать серьёзно.
В случае эпилепсии замена фенитоина может быть более сложной у пациентов, которые длительно и стабильно принимают этот препарат, поскольку возможный припадок при замене может повлиять на их способность управлять транспортным средством. Сообщалось, что замена препарата может привести к спонтанному исчезновению лекарственно-индуцированного разрастания десны. - Усиление гигиены полости рта. Эффективный домашний уход крайне важен как для пациентов с уже развившейся гиперплазией, так и для тех, кто находится в группе риска. Необходимо подчеркнуть значимость этого аспекта и показать пациенту, как добиться улучшения. Следует скорректировать технику чистки зубов с особым вниманием к положению щётки под углом к десневой борозде, а также рекомендовать использование межзубных средств гигиены. Монопучковые щётки могут быть полезны в областях выраженного разрастания, где использование межзубных ёршиков физически затруднено.
- Проведение индексной оценки состояния пародонта (BPE) и при необходимости заполнение полной пародонтальной карты. Рентгенологическое обследование обязательно для определения степени и распространённости потери костной ткани, поскольку измерения при зондировании могут быть искажены вследствие увеличения десны и, следовательно, неточны как показатели прикрепления.
- Проведение над и поддесневого удаления зубного камня, при необходимости — обработка корней. Устранение факторов, способствующие удержанию налёта, например нависающие края реставраций.
- Если причинно-следственная терапия не приводит к достаточному уменьшению гиперплазии, и сохраняются затруднения при речи, нарушается функция или эстетика, может потребоваться хирургическое вмешательство. Даже если полное разрешение без операции маловероятно, необходимо в первую очередь провести безоперационное лечение, чтобы снизить воспаление и риск послеоперационного рецидива. В некоторых случаях требуется направление к специалисту. Хирургическое лечение в данных ситуациях имеет резективный характер и направлено на то, чтобы сделать ткани десны более доступными для гигиены.
Однако пациент должен быть информирован о том, что при отсутствии изменения медикаментозной терапии долгосрочные рецидивы наблюдаются примерно у 40% случаев. - Регулярная поддерживающая пародонтальная терапия (профилактические визиты) крайне важна для минимизации риска рецидива.

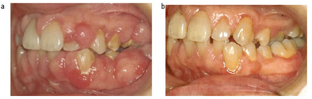
Фото 1. (a) Разрастание десны, связанная с приёмом фенитоина; (b) После проведения нехирургического и хирургического пародонтологического лечения
2. Что такое окклюзионная травма, и влияет ли она на течение пародонтита?
Травматическая окклюзионная сила определяется как любое окклюзионное воздействие, вызывающее повреждение зубов и/или структур пародонтального прикрепления. Термин окклюзионная травма используется для описания повреждения аппарата прикрепления пародонта, возникающего под действием таких сил.
Клинический диагноз окклюзионной травмы может быть поставлен при наличии одного или нескольких из следующих признаков:
- прогрессирующая подвижность зубов,
- адаптивная подвижность (фремитус),
- рентгенологически расширенное периодонтальное пространство,
- миграция зубов,
- боль или дискомфорт при жевании,
- резорбция корня зуба.
Первичная окклюзионная травма определяется как повреждение, возникающее в результате травматических окклюзионных сил, действующих на зуб или зубы с нормальной поддержкой пародонта. Клинически проявляется адаптивной подвижностью и не является прогрессирующей.
Вторичная окклюзионная травма — это повреждение, возникающее в результате действия нормальных или избыточных окклюзионных сил на зуб или зубы с уменьшенной поддержкой, то есть у пациентов с пародонтитом. Зубы с прогрессирующей подвижностью также могут демонстрировать миграцию и болезненность при нагрузке.
Окклюзионная травма является сопутствующим фактором, который может увеличивать скорость прогрессирования пародонтита.
При лечении пациентов со вторичной окклюзионной травмой основное внимание должно уделяться лечению самого пародонтита. Дополнительно, если у пациента имеются парафункциональные привычки, следует рассмотреть изготовление окклюзионной шины. Если показана коррекция окклюзионных несоответствий, она должна проводиться осторожно, чтобы сохранить центральные контакты.
3. Когда следует рассматривать возможность постоянного шинирования зубов у пациентов с пародонтитом?
Основные показания к постоянному шинированию:
- необходимость иммобилизации подвижных зубов, вызывающих дискомфорт или нарушающих функцию;
- иммобилизация зубов при прогрессирующем увеличении подвижности;
- предотвращение дальнейшего перемещения зубов, включая смещение, выдвижение или рецидив после ортодонтического лечения.
Перед шинированием крайне важно убедиться, что пародонтит находится под контролем, поскольку шина затрудняет проведение гигиены.
Для шинирования описан широкий спектр материалов. Наиболее распространённым является композитные материалы. Однако чистый композит хрупкий и склонен к переломам, поэтому предпочтительнее использовать композит, армированный стекловолокном, либо проволоку в сочетании с композитом. Последний вариант предпочтителен, поскольку он позволяет сохранять частичную подвижность отдельных зубов, что стимулирует периодонтальную связку и альвеолярную кость, предотвращая атрофию.
Использование армированного композита создаёт более жёсткую шину, что может привести к атрофии альвеолярной кости и в конечном итоге к необходимости удаления зуба.

Фото 2. (a) Тяжёлый случай пародонтита с дуговой шиной и композитом; (b) Рентгенограммы до лечения
4. Когда следует рассмотреть возможность назначения антибиотиков при лечении пациентов с пародонтитом?
С учетом роста антимикробной резистентности, назначение антибиотиков при лечении пародонтита должно быть тщательно обосновано и, по возможности, избегаться.
Антибиотики следует назначать только в тех случаях, когда выраженность заболевания явно не соответствует существующим этиологическим факторам или если реакция на стандартное нехирургическое лечение оказалась необычной. Это чаще всего наблюдается у пациентов, которых ранее относили к категории «агрессивный пародонтит».
В классификации 2017 года для таких случаев используется термин «пародонтит степени C (Grade C)». Если скорость разрушения прикрепления пародонта не соответствует местным факторам (например, у пациента хорошая гигиена полости рта и отсутствует поддесневой зубной камень), при заболевании степени C может потребоваться назначение антибиотиков.
В практике врача общей стоматологии такие случаи встречаются крайне редко, поскольку пациенты с пародонтитом степени C, как правило, направляются на специализированное лечение. К другим, менее распространённым примерам относятся пациенты с некротическим пародонтитом.
Если всё же принято решение о назначении антибиотиков, их следует использовать системно, поскольку доказательная база применения местных антибиотиков в нескольких участках крайне ограничена. Исследования показывают, что уменьшение глубины пародонтальных карманов после повторной инструментации поверхности корня сопоставимо или даже превышает результаты, достигаемые при использовании местных антимикробных средств.
Системные антимикробные препараты следует применять только как дополнение к обработке поверхности корня, а не как самостоятельное лечение, так как необходимо предварительно нарушить структуру биоплёнки. Антибиотики следует принимать после заключительного сеанса обработки поверхности корня, при этом весь объём обработки должен быть завершён в течение 7–14 дней.
Оптимального протокола по выбору антимикробного препарата или режима терапии не существует; на практике учитываются эмпирические данные и удобство применения.
Например, у пациентов с аллергией на пенициллин может быть полезен доксициклин 100 мг. У пациентов с выраженным инфекционным процессом может быть показана комбинация метронидазола и амоксициллина. Азитромицин также часто используется, так как он удобен для пациента — по одной таблетке в день в течение трёх дней.

5. На какие ключевые факторы следует обратить внимание при планировании установки имплантатов у пациентов с пародонтитом?
A. Риск развития периимплантных заболеваний
У пациентов с существующим пародонтитом риск развития периимплантита значительно выше.Более того, у пациентов с анамнезом пародонтита в долгосрочной перспективе наблюдаются:
- большая глубина зондирования и потеря кости вокруг имплантатов,
- более высокая частота случаев периимплантита,
- и в целом более высокий процент неудач лечения.
Исследования показали, что у пациентов с предрасположенностью к пародонтиту потеря кости вокруг имплантатов выражена значительно сильнее, чем у пародонтально здоровых пациентов независимо от типа используемого имплантата.
По этой причине крайне важно в первую очередь вылечить пародонтит и постараться устранить все глубокие пародонтальные карманы до установки имплантата.
Пациентов с анамнезом пародонтита необходимо заранее информировать, в том числе в рамках процесса получения информированного согласия, о том, что они находятся в группе повышенного риска осложнений.
B. Позиционирование имплантатов
Имплантаты не следует располагать слишком близко друг к другу, так как это может затруднить доступ для адекватного контроля зубного налёта. Оптимальным считается сохранять расстояние около 3 мм между имплантатами, если это анатомически возможно.
Перед установкой имплантата ранее перенесённая потеря твёрдых и мягких тканей может привести к невозможности установки имплантата в правильном трёхмерном положении. Неправильное расположение имплантата в вестибуло-язычном направлении может привести к формированию реставраций с нависающими контурами, которые невозможно очистить. Слишком глубокая установка имплантата может привести к формированию глубоких карманов и значительного поддесневого пространства, что затрудняет эффективный контроль налёта. Эти возможные осложнения необходимо учитывать на этапе планирования, при необходимости рассматривая возможность проведения костной и/или мягкотканной пластики.
C. Винтовая фиксация или цементная фиксация
Предпочтение следует отдавать винтовым конструкциям, если это возможно. При использовании цементируемых реставраций требуется осторожность из-за риска попадания избыточного цемента в периимплантатный желоб при фиксации коронки. Количество избыточного цемента, как правило, увеличивается при более глубоком расположении краёв коронки.
Остатки цемента могут создавать шероховатую поверхность, способствующую колонизации микроорганизмов, что приводит к развитию периимплантатного мукозита, а впоследствии периимплантита. Кроме того, цемент может действовать как инородное тело, вызывая воспалительную реакцию, которая также способна привести к развитию периимплантита.
D. Съёмные конструкции
Не всегда требуется установка несъёмных реставраций. В ряде случаев съемные конструкций представляют собой более безопасное и удобное долговременное решение. Съёмные протезы замещают как твёрдые, так и мягкие ткани, что может обеспечить лучший эстетический результат, а также облегчить доступ к периимплантатным тканям для гигиенического ухода.
E. Поддерживающая терапия
Долгосрочные исследования показали, что отсутствие поддерживающей терапии связано с более высокой частотой развития периимплантита. Поэтому поддерживающая пародонтальная терапия является важным элементом профилактики осложнений.
Интервалы между визитами для профилактических осмотров и профессиональной гигиены должны определяться индивидуально с учётом:
- ранее проведённого пародонтального лечения,
- состояния мягких тканей,
- расположения имплантатов,
- конструкции протезов.
F. Удаление зубов с последующей установкой имплантатов
В настоящее время накапливаются данные, свидетельствующие о том, что сохранение зубов с поражением пародонта может обеспечивать более высокие показатели выживаемости и быть экономически более целесообразным, чем замена их на имплантаты с несъёмными коронками. В связи с этим в современной практике наблюдается тенденция к максимальному сохранению пародонтально поражённых зубов как можно дольше, до момента, когда их замена имплантатами действительно становится необходимой.
6. Почему важно проводить оценку риска у пациентов с заболеваниями пародонта?
Оценка риска основана на современных научных данных и позволяет выявить пациентов с повышенной вероятностью развития конкретного заболевания, обеспечивая их более целенаправленными профилактическими мерами.
Пародонтит — это сложное состояние, в развитии которого участвуют взаимодействия воспалительных и иммунных реакций организма, зависящие от генетических, экологических и поведенческих факторов, а также от бактериального зубного налёта (биопленки). Различные факторы риска при пародонтите имеют неодинаковую значимость и могут взаимодействовать между собой, поэтому оценка риска – это процесс не простой.
Недавняя конференция Европейской федерации пародонтологии (EFP), анализировавшая последние систематические обзоры по этой теме, признала обоснованными две системы: PreViser (в Великобритании — DEPPA, Denplan PreViser Patient Assessment) и инструмент оценки пародонтального риска (PRA — Periodontal Risk Assessment). Надёжность и прогностическая ценность этих систем подтверждены рядом исследований.
PreViser / DEPPA — технология, широко используемая в общей стоматологической практике. Она представляет собой онлайн-оценку, которая анализирует 11 факторов:
- возраст пациента,
- курение,
- диабет,
- пародонтальных анамнез,
- глубину пародонтальных карманов,
- кровоточивость при зондировании,
- поражения фуркации,
- наличие поддесневых реставраций,
- зубной камень,
- высоту костной ткани по рентгенограмме,
- наличие вертикальных костных дефектов.
На основе этих данных формируется отчёт для пациента, который служит инструментом для обратной связи и коммуникации. В нём содержатся цифровые и цветовые индикаторы риска (по шкале от 1 до 5) и степени тяжести заболевания (по шкале от 1 до 100). Также формируется график, отражающий изменения относительно предыдущей оценки, и предлагаются рекомендации по лечению в зависимости от исходных данных. Рандомизированное контролируемое исследование показало, что использование этой системы улучшает психологическое восприятие пациентом своего состояния. Кроме того, в другом исследовании, проведённом в первичном звене здравоохранения, было показано, что применение PreViser/DEPPA в качестве инструмента обратной связи способствует улучшению показателей гигиены, снижению кровоточивости и повышению частоты межзубной чистки по самоотчётам пациентов. Это первый случай, когда инструмент оценки риска показал реальное улучшение состояния полости рта.
Инструмент PRA (Periodontal Risk Assessment) — онлайн-система, широко применяемая в образовательных программах для специалистов. Её часто называют «паутинной диаграммой». Этот инструмент создаёт наглядное графическое отображение уровня риска пациента на основе шести факторов:
- процент кровоточивости при зондировании,
- количество остаточных карманов ≥5 мм,
- количество утраченных зубов,
- степень утраты альвеолярной кости в соотношении с возрастом,
- наличие системных и/или генетических предрасположенностей,
- факторы окружающей среды, включая курение.
Инструмент предназначен для применения после завершения пародонтального лечения. Главная цель оценки риска — выявление пациентов, подверженных риску, до развития необратимых повреждений. Это позволяет врачу точнее определить план ведения пациента, установить интервалы визитов, скорректировать факторы риска, определить интенсивность лечения и своевременно направить к специалисту. В то же время подход, основанный на оценке риска, помогает избежать избыточного лечения.
Кроме того, количественная оценка риска и тяжести заболевания с помощью баллов и шкал позволяет объективно измерять успех лечения на индивидуальном, клиническом и популяционном уровнях. Наиболее важно то, что персонализированное информирование пациента о его рисках стимулирует изменение поведения и имеет значимые медико-правовые последствия, так как способствует вовлечению пациента в заботу о собственном здоровье.
7. Можно ли стабилизировать пародонтит на всю жизнь, чтобы пациенты сохранили зубы?
Сейчас существует убедительная доказательная база, подтверждающая, что качественно проведённая пародонтальная терапия у мотивированных пациентов обеспечивает хорошие и долговременные результаты. При успешном лечении пациенты действительно могут сохранить зубы на всю жизнь. Даже если полученный результат не является абсолютно идеальным, продолжительность жизни зубов всё равно существенно увеличивается. Ключевое значение для сохранения достигнутых улучшений и предотвращения потери зубов имеют оптимальная гигиена полости рта и регулярная поддерживающая терапия.
Ниже показан клинический случай, в котором было проведено только нехирургическое лечение пародонта. На первый взгляд зуб мог бы считаться безнадёжным, но благодаря эффективной терапии глубина пародонтальных карманов значительно уменьшилась, а на рентгенограммах видны признаки восстановления костной ткани.

Фото 3. Нехирургическое пародонтологическое лечение: (a) До лечения; (b) Через шесть месяцев после лечения
8. Какова роль поддерживающей пародонтальной терапии?
Поддерживающая пародонтальная терапия — это эффективная и неотъемлемая часть ведения пациентов с пародонтитом. Её значение должно подчёркиваться до начала активного лечения.
При регулярном поддерживающем лечении пародонтальное здоровье может сохраняться у большинства пациентов, даже в запущенных случаях. Исследование Rosling и соавт. (2001) показало, что при наблюдении в течение 12 лет, с проведением терапии, направленной на учёт индивидуального риска, потеря зубов минимизируется, а у пациентов с высоким риском заболевание остаётся в стабильном состоянии; у пациентов с низким риском пародонтит практически устраняется.
Цели поддерживающей терапии включают:
- мониторинг состояния для выявления возможного прогрессирования заболевания и своевременного вмешательства,
- удаление этиологических факторов до развития рецидива,
- усиление мотивации по отказу от курения и направление к соответствующим специалистам при необходимости.
Интервалы между визитами должны определяться индивидуально, в зависимости от профиля риска пациента, но стандартным считается интервал в 3 месяца. В настоящее время разрабатываются алгоритмы, основанные на данных доказательной медицины, для более персонализированного определения частоты визитов.
9. Каковы рекомендации по направлению пациентов к специалисту?
Важно не задерживать направление пациента к пародонтологу, если есть показания. Нередко пациенты впоследствии (например, после потери зуба) утверждают, что предпочли бы более раннее направление.
Отсутствие своевременного направления -это одна из наиболее частых причин юридических претензий в пародонтологии.
Согласно рекомендациям Британского общества пародонтологии (BSP), направление показано для пациентов третьего уровня сложности, что включает наличие кода BPE = 4 в любом секстанте, а также одного или нескольких из следующих факторов:
- наличие системного заболевания, влияющего на пародонт (например, диабета);
- осложнённая анатомия корней, ухудшающая прогноз;
- ранее диагностированная «агрессивная форма пародонтита»;
- отсутствие ответа на оптимально проведённое лечение;
- необходимость хирургического вмешательства;
- анамнез, существенно влияющий на ведение (лучевая терапия головы/шеи, терапия бисфосфонатами);
- состояния иммунодефицита, нарушения свёртываемости, лекарственные взаимодействия;
- регулярное курение (≥10 сигарет в день);
- сочетанные мукогингивальные заболевания, например эрозивная форма плоского лишая.
10. Как снизить риск судебных претензий за счёт ведения документации?
Правильные формулировки в медицинских записях помогают избежать пропуска важных моментов при обсуждении с пациентом. Шаблоны записей должны быть достоверными, точными и адаптированными под конкретного пациента.
Полезные примеры формулировок:
- «Пациент информирован о наличии лёгкой/умеренной/тяжёлой формы пародонтального заболевания».
- «Пациент предупреждён о подвижности зубов и риске их потери вследствие пародонтита».
- «Пациент уведомлён о риске развития пародонтита».
- «Пациент проинформирован о влиянии курения на течение пародонтита, обсуждён повышенный риск заболевания и худший ответ на лечение».
- «Пациенту разъяснено, что гигиена полости рта недостаточна для проведения полноценной терапии; даны рекомендации по улучшению уровня гигиены».
- «Пациенту показана техника использования межзубных щёток, рекомендованы следующие размеры: …».
- «Обсуждена возможность направления к пародонтологу».
По материалам Reena Wadia, Iain L. C. Chapple «Periodontal care in general practice: 20 important FAQs − Part two», 2019
