Гранулема лица – это редкое доброкачественное воспалительное заболевание кожи, обычно проявляющееся изолированными, красновато-коричневыми или фиолетовыми безболезненными папулами, узелками или бляшками с мягкой, гладкой и четко очерченной поверхностью, часто с выраженными волосяными фолликулами и телеангиэктазиями.
Гранулема лица имеет типичную локализацию на коже лица, преимущественно на коже лба, носа и щеки. Однако гранулема лица может проявляться множественными элементами и/ или во внелицевых областях. Этиология заболевания неизвестна, но в целом она рассматривается как локализованный хронический фиброзирующий васкулит. Диагноз устанавливается на основании клинических данных и подтверждается гистологическим исследованием.
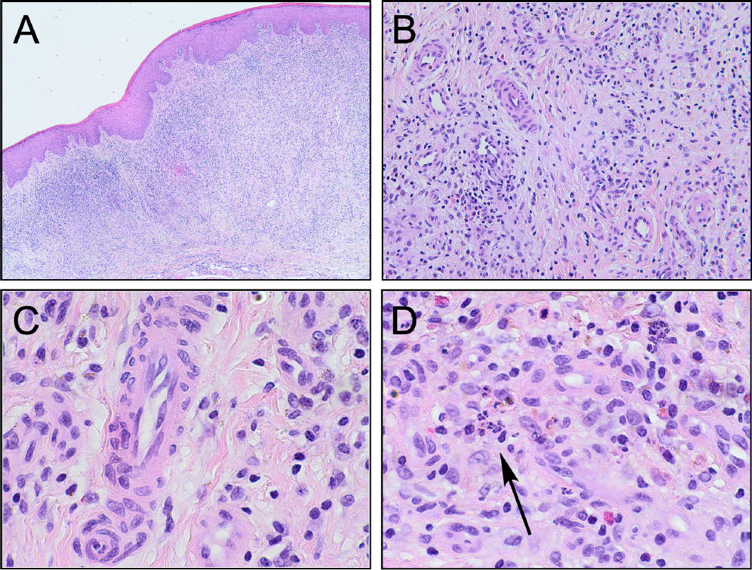
При гистологическом исследовании гранулемы лица эпидермис выглядит неизменённым, отделённым от подлежащего воспалительного инфильтрата узкой бесклеточной полосой — grenz-зоной, представляющей собой участок сосочкового слоя дермы, не вовлечённый в патологический процесс.
В верхней половине дермы выявляется плотный, диффузный, полиморфный воспалительный инфильтрат, состоящий из лимфоцитов, гистиоцитов, плазматических клеток, эозинофилов и нейтрофилов, с признаками лейкоцитоклазии. Воспалительные клетки окружают сосуды, в стенках которых возможны фибриноидный некроз и периваскулярный фиброз. Внесосудистые эритроциты и отложения гемосидерина придают очагам характерный красно-бурый цвет.
Клинический случай
Далее будет описан клинический случай поражения слизистой оболочки неба, сходного с гранулемой лица, у 75-летней женщины.
Пациентка была направлена стоматологом в отделение оральной медицины из-за наличия стойкого, безболезненного образования на небе. Из анамнеза: артериальная гипертензия, гиперхолестеринемия, остеопороз и аллергия на пыльцу. Принимала лерканидипин и аторвастатин; приём перорального алендроната был прекращён через месяц после появления поражения.
При осмотре выявлен одиночный красноватый, безболезненный, подслизистый узелок с дольчатой поверхностью в средней части заднего отдела твёрдого неба. Пациентка пользовалась частичным съёмным протезом, не контактировавшим с очагом. При пальпации образование было мягким, покрывающий эпителий не изъязвлён, поражение прочно фиксировано к подлежащим тканям. КТ верхней челюсти не выявила вовлечения костной ткани неба.
Дифференциальная диагностика включала: аденит или опухоль малых слюнных желёз, мягкотканное новообразование, глубокие микозы, саркоидоз, IgG4-ассоциированное заболевание, болезнь Кимура, гранулематоз с полиангиитом, эозинофильный гранулематоз с полиангиитом, внеузловую NK/T-клеточную лимфому.
Кожных поражений на лице или теле на момент осмотра не было.

Фото 1. Поражение слизистой оболочки неба, сходное с гранулемой лица: клинические особенности.
(A) — Красноватый, безболезненный, сидячий подслизистый узелок в средней части заднего отдела твёрдого неба; (B) — При увеличении видно дольчатое строение поражения, эпителий не изъязвлён

Фото 1. (C) — КТ верхней челюсти не выявила вовлечения костной ткани неба; (D) — В биоптате отмечается бурое окрашивание из-за отложения гемосидерина в соединительной ткани (стрелка)

Фото 1. (E) — Внешний вид через 14 дней после инцизионной биопсии, заживление вторичным натяжением; (F) — Полное спонтанное заживление поражения через 1 месяц после биопсии
Была выполнена инцизионная биопсия. Образец показал выраженное отложение гемосидерина в соединительной ткани. Микроскопически отмечен плотный, смешанный воспалительный инфильтрат в собственной пластинке слизистой, состоящий из лимфоцитов, макрофагов, плазматических клеток, нейтрофилов и эозинофилов. Инфильтрат был диффузным, с акцентом вокруг мелких сосудов, проникал в сосудистые стенки, вызывая лейкоцитоклазию и очаговый фибриноидный некроз.
Хотя чёткой grenz-зоны не наблюдалось, поверхностные участки слизистой содержали меньше воспалительных клеток, чем глубокие периваскулярные области. Преобладали Т-лимфоциты и макрофаги; плазматические клетки, нейтрофилы и эозинофилы встречались в меньшем количестве. Отмечались очаги фиброза со сториформным рисунком, однако IgG4-положительные плазматические клетки были редки, что исключало IgG4-ассоциированное заболевание. Серологические тесты (ANA, ENA, ANCA, IgG4) были отрицательные.

Фото 2. Гистопатологические особенности поражения слизистой оболочки неба, сходного с гранулемой лица.
(A) — Плотный, диффузный, смешанный воспалительный инфильтрат в соединительной ткани. В поверхностных отделах слизистой воспаление менее выражено, что напоминает grenz-зону, типичную для кожных форм (H&E, ×40); (B) — Инфильтрат диффузный, но с преимущественным скоплением вокруг мелких реактивных сосудов (H&E, ×200); (C) — При большом увеличении видны периваскулярный инфильтрат и васкулит с проникновением воспалительных клеток в сосудистую стенку; эозинофилы составляли незначительную часть инфильтрата (H&E, ×600); (D) — Участки лейкоцитоклазии с ядерным детритом (стрелка) (H&E, ×600)

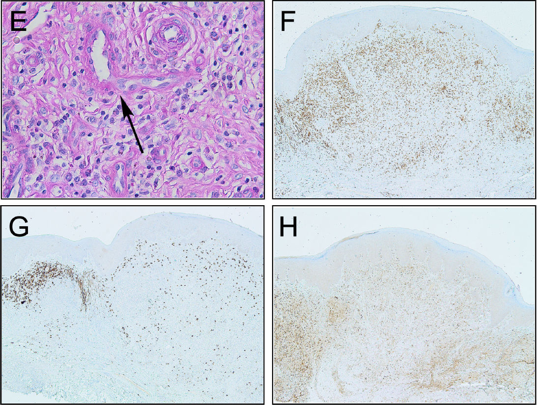
Фото 2. (E) — Очаги фибриноидного некроза в стенке сосудов (стрелка) (PAS, ×400); (F) — Инфильтрат преимущественно состоит из Т-лимфоцитов (CD3+, ×40); (G) — Компонент В-лимфоцитов выражен слабее, преимущественно в поверхностных слоях слизистой (CD20+, ×40); (H) — Значительная часть клеток относится к макрофагальному ряду (CD68+, ×40)

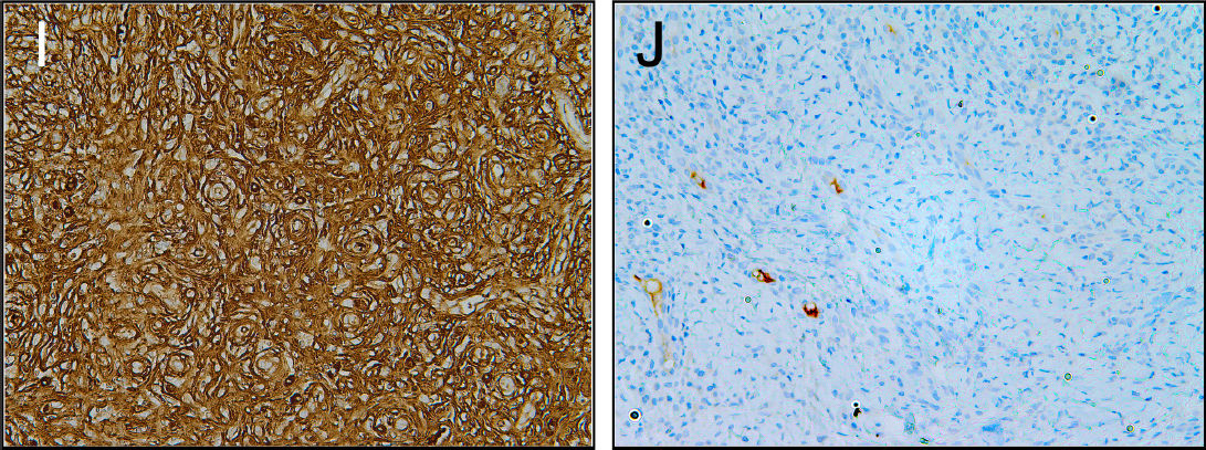
Фото 2. (I, J) — Плазматические клетки, несущие IgG4 (J), встречаются редко по сравнению с общим количеством IgG-положительных клеток (I), что исключает IgG4-ассоциированное заболевание.
Был установлен диагноз: поражение слизистой оболочки неба, сходное с гранулемой лица. При осмотрах через 14 дней и 1 месяц после биопсии отмечено полное самопроизвольное заживление без признаков рецидива.
С учётом склонности гранулемы лица к рецидивированию пациентке назначена профилактическая терапия: топические гели дапсона 10% и такролимуса 0,1% на 30 дней. Через 3 месяца рецидивов не наблюдалось.
Обсуждение клинического случая
Это первое описанное изолированное поражение слизистой оболочки полости рта, сходное с гранулемой лица. Ранее сообщалось лишь об одном сходном случае — поражении десны в области нижнего третьего моляра, однако там имелись множественные очаги на коже и в полости носа, что позволило диагностировать эозинофильный ангиоцентрический фиброз. Эта форма рассматривается как слизистая форма гранулемы лица, характеризующаяся локально деструктивным течением и преимущественным поражением околоносовых пазух, хотя возможно вовлечение орбиты, лёгких и подголосового пространства. Гистологически оно характеризуется множественными эозинофилами и периваскулярным концентрическим фиброзом с типичным “луковичным” рисунком, при этом фибриноидный некроз, как правило, отсутствует. В 2011 году было высказано предположение, что данная форма может относиться к спектру IgG4-ассоциированных заболеваний, однако это остаётся предметом исследований.
В описанном случае воспалительный компонент преобладал над фиброзом, отмечались признаки васкулита и фибриноидного некроза, отсутствовал “луковичный” рисунок коллагенового фиброза, а IgG4-плазматические клетки встречались редко.
Таким образом, описанный случай представляет собой уникальное поражение слизистой оболочки, сходное с гранулемой лица, ближе по клиническим и морфологическим признакам к гранулеме лица, чем к эозинофильному ангиоцентрическому фиброзу.
Интересно, что в литературе встречается обратный пример — эозинофильный ангиоцентрический фиброз кожи, что подтверждает сходство и частичное перекрытие признаков этих двух заболеваний.
Самопроизвольное заживление после биопсии — редкое явление для гранулемы лица. Обычно лечение требует сочетания медикаментозных и хирургических методов из-за высокой частоты рецидивов.
По материалам Francesca Magnoli et al., «Granuloma Faciale — Like Lesion of the Palate: A Previously Unreported Entity», 2024
