В статье описан клинический случай появления множественных округлых язв на прикреплённой десне верхней челюсти и прилегающей слизистой губы, а также проанализированы инструменты диагностического поиска.
50-летняя женщина обратилась за медицинской помощью из-за появления поражений слизистой оболочки полости рта. Жалоб на недомогание или головную боль не было, увеличения лимфатических узлов и повышения температуры до или во время осмотра также не отмечалось. Пациентка жаловалась на жжение слизистой оболочке рта. Она отрицала какие-либо изменения в уходе за полостью рта или стоматологические процедуры, за исключением того, что недавно начала пользоваться новой зубной пастой.
Из анамнеза: аллергии на пищу или лекарственные препараты отсутствовали. По словам пациентки, её стоматолог заподозрил кандидоз полости рта или инфекцию, вызванную вирусом простого герпеса, и назначил нистатин и ацикловир, однако улучшения не наступило.
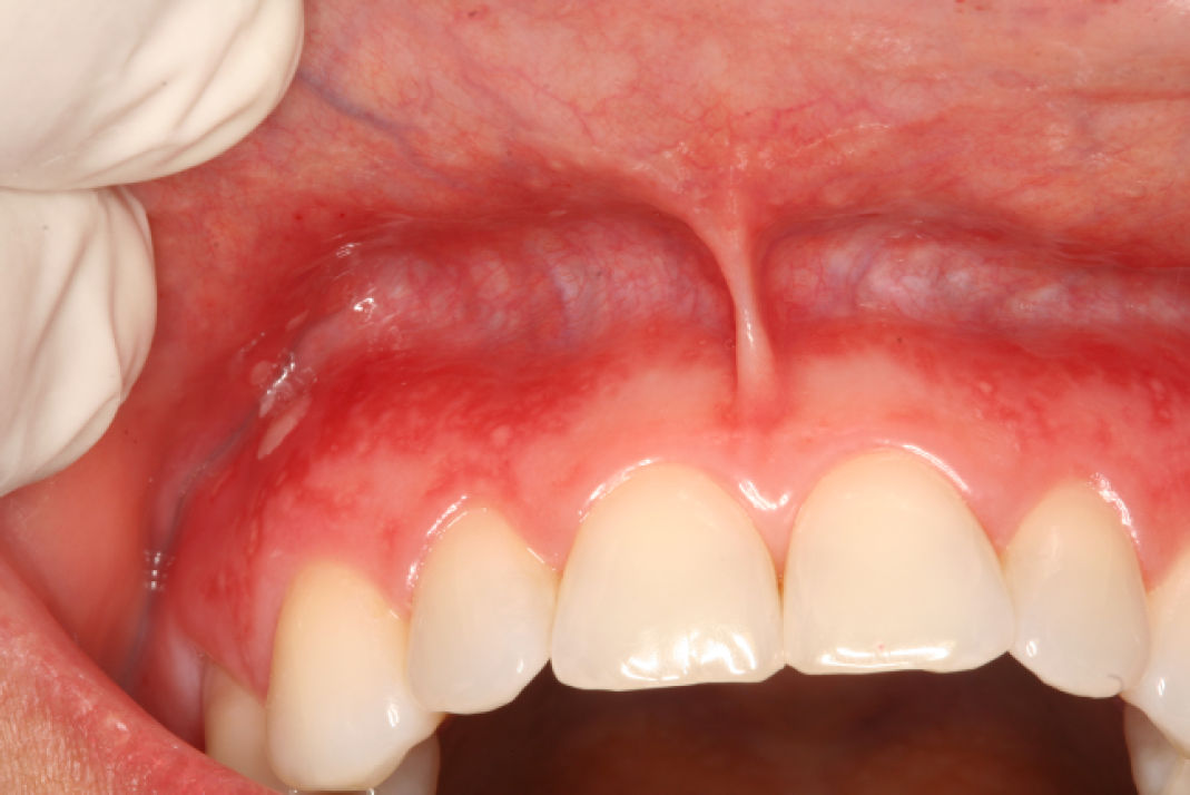
При клиническом осмотре были выявлены множественные болезненные мелкие округлые язвы на прикреплённой десне переднего отдела верхней челюсти и на прилежащей альвеолярной слизистой. Пациентка сообщила, что поражения появились около месяца назад, ранее подобные эпизоды отсутствовали. Кожные поражения не обнаружены.

Фото 1. Множественные мелкие округлые язвы на прикреплённой вестибулярной десне верхней челюсти и прилежащей слизистой оболочке губы
Диагностика реакции гиперчувствительности
Аллергические контактные реакции, вызванные компонентами зубных паст, всё чаще распознаются в стоматологической практике, что подчёркивает необходимость повышенного внимания со стороны специалистов в области стоматологии. Контактный дерматит в области рта и периоральной зоны обычно проявляется эритемой, жжением, отёком, образованием везикул, трещин, шелушением, эрозиями, корками и хейлитом, нередко сопровождаясь болью.
Для исключения системных, инфекционных, гематологических или аутоиммунных причин был назначен расширенный анализ крови, включавший общий анализ крови, глюкозу натощак, серологические тесты на ВИЧ-1 и ВИЧ-2, креатинин, мочевину, витамин B₁₂, сывороточное железо, ферритин, фолиевую кислоту, С-реактивный белок, серологию на Treponema pallidum и антинуклеарные антитела. Все показатели оказались в пределах нормы.
Возможная вирусная этиология рассматривалась, включая определение IgM к вирусам простого герпеса (HSV-1 и HSV-2); однако такие тесты имеют ограниченную клиническую ценность, поскольку не позволяют различать тип вируса и могут быть положительными как при первичном, так и при рецидивирующем герпесе. Несмотря на это, с учётом отсутствия продромальных симптомов, характерных для герпетической инфекции, эта гипотеза не была принята в качестве основного диагноза.
Рецидивирующий афтозный стоматит (герпетиформный вариант) может проявляться схожими поражениями, однако обычно поражает неороговевающую слизистую, что не соответствовало локализации поражений в данном случае. Хотя иммунологически опосредованные заболевания, такие как буллёзные дерматозы, также могут проявляться язвами на деснах, отсутствие рецидивов на момент осмотра делало эти дифференциальные диагнозы менее вероятными.
В данном случае язвенные поражения герпетиформного типа возникли вскоре после того, как пациентка начала пользоваться новой зубной пастой.
В июле 2024 года состав зубной пасты Colgate Total Clean Mint (Colgate-Palmolive) был изменен в некоторых странах, а именно фторид натрия был заменён на фторид олова (SnF₂) как основной активный ингредиент. После этого изменения многие потребители начали сообщать о побочных реакциях, включая изъязвления полости рта (афты, эрозии, пузыри), жжение или покалывание языка, а также отёк или онемение губ.
Фторид олова применяется в средствах для ухода за полостью рта с 1960-х годов благодаря доказанной эффективности в профилактике кариеса, снижении воспаления дёсен и уменьшении чувствительности зубов. Его терапевтический эффект связан с формированием устойчивого оловосодержащего защитного слоя на поверхности зубов, что повышает их устойчивость к кислотным воздействиям.
Однако, несмотря на клинические преимущества, использование SnF₂ в составе зубных паст сопряжено с риском возникновения реакций гиперчувствительности у восприимчивых людей. Подобные случаи зарегистрированы и в других странах. Так, Saracco и соавт. описали первый случай аллергического хейлита в Италии, связанный с зубной пастой, содержащей SnF₂, а также кратко проанализировали ранее опубликованные наблюдения.
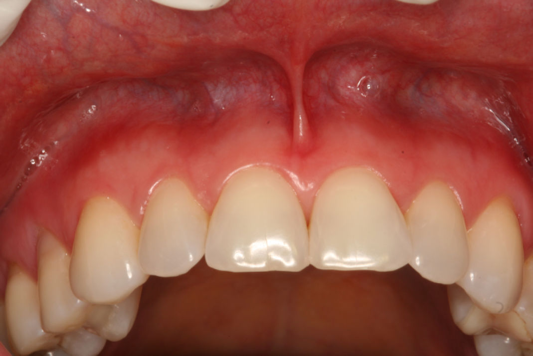
Пациентке было рекомендовано прекратить использование пасты, содержащей SnF₂, что привело к полному исчезновению симптомов. Ранее она без проблем использовала пасты с другими соединениями фтора, что подтверждает гипотезу о том, что именно SnF₂ вызвал реакцию гиперчувствительности.

Фото 2. Через 3 дня после прекращения использования зубной пасты, отмечается полное исчезновение поражений
Другие возможные раздражители, включая корицу и вспомогательные вещества, были исключены при клинической оценке. Пациентка отметила, что поражения появились через 1 день после смены пасты, что дополнительно указывает на аллергическую природу реакции.
Этот вывод согласуется с официальным сообщением Национального агентства санитарного надзора Бразилии, которое выпустило предостережение и временно отстранило с рынка зубную пасту Colgate Total Clean Mint после многочисленных сообщений о неблагоприятных реакциях со стороны полости рта.
Эти реакции были связаны с изменением формулы продукта, что также отмечено в официальном заявлении агентства. Подозреваемая причинная связь была подтверждена полным исчезновением поражений в течение 3 дней после прекращения использования пасты, без рецидивов на момент наблюдения.
Реакция гиперчувствительности в полости рта часто является диагнозом исключения и редко подтверждается без проведения провокационного теста или кожной пробы (patch-test). Хотя эти методы не всегда доступны или практически выполнимы, осознание таких ограничений помогает клиницистам более эффективно вести подобные случаи.
В подобных ситуациях часто применяют методы оценки причинно-следственной связи, позволяющие определить вероятность связи между воздействием вещества и клиническими проявлениями.
Так, алгоритм Naranjo представляет собой широко используемый инструмент, основанный на системе баллов и стандартизированных вопросах и помогает врачу сделать более обоснованное заключение. В данном случае, по результатам оценки с использованием этого алгоритма, была установлена вероятная связь между применением зубной пасты, содержащей SnF₂, и развитием реакции гиперчувствительности.

≥9 баллов — достоверная: реакция возникла в логической временной последовательности после применения препарата, токсический уровень препарата подтверждён в тканях или жидкостях, реакция соответствует известной для данного препарата, улучшение наступает после отмены, и реакция возобновляется при повторном воздействии
5–8 баллов — вероятная: реакция возникла в логической временной последовательности после приёма препарата, соответствует известной реакции на данный препарат, подтверждается улучшением после отмены, но не повторным воздействием, и не может быть объяснена особенностями состояния пациента
1–4 балла — возможная: реакция возникла во временной последовательности после приёма препарата, возможно соответствует известной реакции, но может быть объяснена особенностями заболевания пациента
≤0 баллов — сомнительная: реакция, вероятнее всего, связана с другими факторами, а не с препаратом
Дифференциальная диагностика
Инфекция, вызванная вирусом простого герпеса (HSV)
Вирусы простого герпеса (HSV) — частые возбудители инфекций слизистой оболочки полости рта, преимущественно типов HSV-1 и HSV-2, которые поражают, по оценкам, около 67% и 13% населения мира соответственно. Вирус обычно инфицирует человека в раннем возрасте через слизистые оболочки при контакте с заражёнными выделениями. HSV вызывает широкий спектр заболеваний — от герпеса губ и стоматита до герпетического кератита, способного привести к слепоте, и в редких случаях — энцефалита.
Несмотря на активный иммунный ответ, вирус сохраняется в латентной форме и персистирует всю жизнь. Его реактивация может приводить как к бессимптомному выделению вируса, так и к рецидивам орофациальных герпетических поражений.
Реактивацию HSV могут спровоцировать различные факторы, включая локальное повреждение тканей, физический или эмоциональный стресс, лихорадку, сопутствующие инфекции, воздействие ультрафиолета, гормональные нарушения, а также иммуносупрессию, вызванную химио- или лучевой терапией.
Клинически первичный герпетический гингивостоматит характеризуется образованием мелких везикул размером с булавочную головку, которые быстро вскрываются, сливаются и образуют небольшие болезненные красные эрозии и язвы, покрытые желтовато-серым псевдомембранозным налётом. Обычно поражаются язык, красная кайма губ, дёсны, слизистая щёк, твёрдое и мягкое нёбо.
Диагностика HSV основывается на клинических данных и подтверждается типоспецифическими вирусологическими и серологическими тестами, как рекомендует Центр по контролю и профилактике заболеваний (CDC). Вирус может быть обнаружен в поражениях кожи и слизистых либо при бессимптомном выделении. При наличии пузырьков предпочтительно брать мазок из содержимого везикулы.
Острые генитальные инфекции диагностируются методом ПЦР для выявления вирусной ДНК. Типоспецифическая серология, основанная на гликопротеинах G1 (HSV-1) и G2 (HSV-2), полезна в случаях рецидивирующих поражений при отрицательных результатах ПЦР или при неясной клинической картине.
Противовирусные препараты применяются для лечения первичных или рецидивирующих симптоматических эпизодов HSV-инфекции. Они уменьшают продолжительность и тяжесть симптомов, но не устраняют вирус. Наиболее часто используются ацикловир, фамцикловир и валацикловир.
Рецидивирующий афтозный стоматит (герпетиформный вариант)
Рецидивирующий афтозный стоматит (РАС) — хроническое воспалительное заболевание слизистой оболочки полости рта, характеризующееся появлением болезненных язв без выявляемого системного заболевания. Этиология РАС остаётся неясной. Среди различных форм заболевания герпетиформный вариант отличается внезапным появлением многочисленных мелких язв, которые могут сливаться, образуя более крупные и неправильные по форме поражения. Несмотря на название, этот вариант не связан с инфекцией вируса герпеса, а лишь внешне напоминает герпетические поражения.
Диагноз РАС ставится на основании анамнеза и клинической картины. При необходимости выполняются дополнительные исследования для исключения системных причин — анализы крови для выявления дефицита питательных веществ, аутоиммунных маркеров и обследование на целиакию. В некоторых случаях могут потребоваться микробиологические тесты или биопсия слизистой оболочки.
Лечение направлено на обезболивание, ускорение заживления язв и снижение частоты рецидивов. Хотя полного излечения нет, терапия включает поддержание гигиены полости рта, избегание провоцирующих факторов и применение местных средств — кортикостероидов, циклоспорина, ретиноидов, антимикробных и анестезирующих препаратов. В тяжёлых или часто рецидивирующих случаях может потребоваться системная терапия. Также необходимо устранять дефициты витаминов, например B₁₂, поскольку приём добавок может уменьшить частоту и выраженность обострений. Лечение должно быть индивидуализировано с учётом тяжести и частоты проявлений.
Вульгарная пузырчатка
Представляет собой аутоиммунное заболевание, хронически поражающее кожу и слизистые оболочки. Основную роль играют аутоантитела класса IgG, направленные против десмоглеинов DSG1 и DSG3 — белков десмосом, что приводит к нарушению клеточной адгезии и формированию супрабазальной полости.
У пациентов, у которых антитела направлены исключительно против DSG3, преобладает слизистая форма, поражающая преимущественно слизистые оболочки. При наличии антител к DSG1 и DSG3 развивается слизисто-кожная форма, при которой вовлекаются и слизистые, и кожа.
Клинически поражения полости рта часто являются первым и наиболее устойчивым проявлением, иногда присутствуют без кожных симптомов. Поражения обычно начинаются как везикуло-буллёзные образования, которые вскрываются, оставляя болезненные эрозии и язвы.
Полная диагностика требует клинического, гистопатологического и иммуноморфологического (иммунофлуоресцентного) подтверждения. Лечение включает системное применение глюкокортикостероидов в высоких дозах, как самостоятельно, так и в сочетании с иммуносупрессантами — азатиоприном, метотрексатом, циклофосфамидом или ритуксимабом.
Также может применяться лазерная терапия в качестве дополнительного метода. Эффективное ведение таких пациентов требует мультидисциплинарного подхода, направленного на контроль поражений и поддержание качества жизни на протяжении болезни.
Заключение
У данной пациентки поражения слизистой полости рта, по всей вероятности, были вызваны реакцией гиперчувствительности на новую зубную пасту, содержащую фторид олова (SnF₂). Полное исчезновение поражений после прекращения использования продукта и соответствие сроков появления симптомов указывают на эту причину. Несмотря на то, что патч-тест не проводился, клиническое улучшение после отмены пасты дополнительно подтверждает связь.
Данный случай подчёркивает важность распознавания возможных аллергических реакций на стоматологические продукты и своевременного вмешательства для ускорения восстановления и обеспечения безопасности пациента.
Источник: Marina Rocha Fonseca Souza, DDS, MSc «Multiple oral herpetiformlike ulcers», 2025
