В данной статье представлен и проанализирован клинический случай бессимптомного одностороннего опухолевидного образования десны у мужчины среднего возраста с детальным клинико-рентгенологическим и гистопатологическим обследованием.
Соматически здоровый 46-летний мужчина обратился в клинику с целью осмотра и с жалобами на образования на язычной поверхности в области премоляров нижней челюсти слева. Пациент впервые заметил это образование 4 месяца назад и отметил, что с тех пор оно увеличилось в размерах. Он не помнил о какой-либо травме в данной области, однако сообщил, что 15 лет назад у него уже удаляли аналогичное образование. Пациент не знал, направлялась ли удалённая ткань на гистопатологическое исследование, и, следовательно, не был осведомлён о ранее установленном диагнозе. Пациент отрицал наличие болей или парестезии.
При внешнем осмотре не выявлялось асимметрии или лимфаденопатии. При осмотре полости рта обнаружено безболезненное, одностороннее, чётко очерченное, одиночное сидячее образование, локализованное на язычной прикреплённой десне в области левых нижних премоляров (показано на фото). Изъязвления поверхности не наблюдалось. Другие стоматологические находки включали заболевания пародонта, обусловленные отложением зубного камня, кариес и отсутствие нескольких зубов.
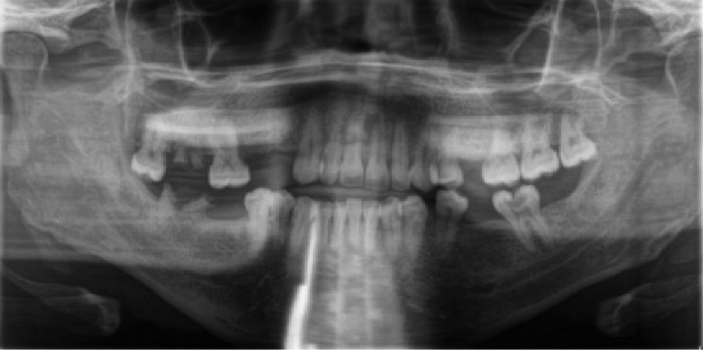
Рентгенологическое обследование включало ортопантомограмму, где было отмечено дистальное смещение зуба 3.5, однако не выявила явных костных разрастаний (показано на фото). Другие находки включали отсутствие нескольких зубов и кариозные поражения. Также наблюдалась потеря кости вокруг нескольких зубов, что соответствовало клинической картине. КЛКТ выявила чётко очерченное образование в области зубов 35 и 36, хорошо визуализируемое как в аксиальных, так и в сагиттальных срезах (показано на фото).
Пациент был назначен на прием для удаления образования под местной анестезией. Иссечение было выполнено с сохранением целостности подлежащих тканей. После удаления образования хирургическим бором и костным напильником была сглажена обнажённая кость. Операционное поле промыли 0,12% раствором хлоргексидина и наложили пародонтальную повязку.
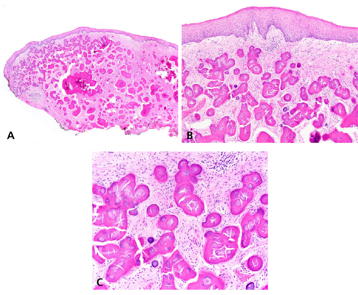
Гистопатологическое исследование удалённых тканей показало паракератинизированный многослойный плоский эпителий, покрывающий узел клеточной фиброзной соединительной ткани, содержащей обильные кальцифицированные структуры. Кальцифицированная ткань состояла из цементоподобных структур различного размера (показано на фото). Соединительная ткань также содержала отдельные фрагменты грубоволокнистой кости и остеоида.
На контрольном осмотре через 1 неделю пациент сообщил о боли и дискомфорте, так как пародонтальная повязка ослабла, что привело к обнажению подлежащей кости. Последующие визиты показали постепенное послеоперационное заживление области и исчезновение симптомов.

Фото 1. Клиническая фотография десневого образования на язычной поверхности левой половины нижней челюсти в области премоляров, демонстрирующая смещение зуба 35. Образование распространяется от медиальной поверхности зуба 35 до дистальной поверхности зуба 33

Фото 2. Панорамная рентгенограмма, демонстрирующая смещение зуба 35, кариозное поражение зуба 37, отсутствие нескольких зубов и наличие множественных корней

Фото 3. Срезы конусно-лучевой компьютерной томографии в аксиальной (A, B) и сагиттальной (C) плоскостях на уровне нижней челюсти, демонстрирующие образование в области язычной кортикальной пластинки в левой премолярной области, соответствующее зоне клинического интереса

Фото 4. A. Паракератинизированный многослойный плоский эпителий, покрывающий узел клеточной фиброзной соединительной ткани, содержащей кальцифицированные структуры (окраска гематоксилин–эозин, увеличение ×20); B, C. Клеточная фиброзная соединительная ткань, содержащая цементоподобные кальцификаты различного размера (окраска гематоксилин–эозин, увеличение ×100 [B] и ×200 [C])
Диагностика
В нашем случае диагноз периферическая оссифицирующая фиброма (POF) был подтверждён гистопатологическим исследованием. Согласно литературным данным, POF составляет около 3% всех опухолей полости рта и 9,6% поражений десны. Это доброкачественное, медленно растущее образование, которое, как считается, развивается в результате реактивного или неопластического процесса.
Хотя точная патофизиология неизвестна, периферическая оссифицирующая фиброма часто ассоциируется с травмой и местными раздражающими факторами, такими как зубной налёт, зубной камень и реставрации (неадекватные, чрезмерно или недостаточно контурированные). Номенклатура данного поражения варьирует, и оно также известно под названиями: периферическая цементо-оссифицирующая фиброма, периферическая фиброма с остеогенезом, оссифицирующий фиброэпителиальный полип и оссифицирующая периферическая фиброма.
Клинически периферическая оссифицирующая фиброма проявляется как одиночное узловое образование на ножке или с широким основанием, чаще всего поражающее межзубной сосочек верхних резцов. Поверхность узла может быть гладкой или изъязвлённой. В большинстве случаев размеры POF не превышают 1,5 см в диаметре, однако в отдельных случаях возможно смещение зубов.
Отмечается предрасположенность у женщин — почти две трети всех случаев встречаются именно у них. Это может быть связано с гормональными факторами, в частности с эстрогеном и прогестероном, которые влияют на объём десневой жидкости. Хотя поражение может возникать в широком возрастном диапазоне, наибольшая частота наблюдается в третьем и четвёртом десятилетиях жизни.
Периферическая оссифицирующая фиброма характеризуется различной степенью минерализации в виде кости, цемента, дистрофических кальцификатов или их сочетания. Наличие минерализации может проявляться рентгеноконтрастными очагами на визуализационных методах, что помогает в диагностике.
Предпочтительным методом лечения является хирургическое иссечение до уровня надкостницы с чёткими и глубокими краями. Соседние зубы следует подвергнуть скейлингу корней для удаления зубного камня и устранения источников местного раздражения, что снижает риск рецидива. Экцизионная биопсия может приводить к мукогингивальным дефектам, требующим дополнительных вмешательств, включая пересадку свободного десневого трансплантата, субэпителиального соединительнотканного трансплантата или коронально смещённые лоскуты. В литературе также описано применение лазера Nd:YAG и пьезохирургии. Частота рецидивов POF составляет от 8% до 20%, при этом основными причинами считаются неполное удаление и сохранение местных раздражающих факторов.
Дифференциальная диагностика
Torus mandibularis (нижнечелюстной торус)
Torus mandibularis — это костное разрастание на язычной поверхности нижней челюсти в области клыков и премоляров. Оно растёт медленно, обычно располагается выше миолинии и чаще бывает двусторонним, хотя может встречаться и односторонне. При пальпации торусы безболезненны, плотны и не сжимаются. Отмечается небольшое преобладание у мужчин. Генетические, экологические и функциональные факторы (скрежетание или сжимание зубов) могут играть роль в их развитии. Гистологически торусы состоят из плотной кортикальной кости с нормальными остеоцитами и лакунами.
Хирургическое вмешательство показано при хронической травматизации слизистой оболочки или при затруднении изготовления съёмного протеза. Крупные размеры торуса могут нарушать артикуляцию и жевание, что также может потребовать хирургической коррекции. Одностороннее узловое образование, вызывающее смещение зубов или сопровождающееся болью, как в нашем случае, требует дополнительного обследования.
Периферическая гигантоклеточная гранулёма (PGCG)
PGCG — это экзофитное реактивное образование красного или синеватого цвета, возникающее в ткани десны или альвеолярной слизистой как у пациентов с зубами, так и у беззубых. Чаще встречается у женщин, пик заболеваемости приходится на четвёртое и шестое десятилетия жизни. Образование ассоциировано с местными раздражающими факторами, такими как зубной камень, хронический пародонтит, дефектные реставрации и плохо прилегающие протезы, и чаще локализуется в дистальном отделе нижней челюсти.
Гистологически периферическая гигантоклеточная гранулёма идентична центральной гигантоклеточной гранулёме: строма содержит пролиферирующие фибробласты и равномерно распределённые многоядерные гигантские клетки. Также выявляются многочисленные капилляры, гемосидерин и острые и хронические воспалительные клетки. Многоядерные клетки напоминают остеокласты, что указывает на происхождение из костных тканей (надкостницы или периодонта). PGCG может быть связана с гиперпаратиреозом, который необходимо исключить. Лечение включает хирургическое иссечение с кюретажем и устранением местных раздражителей. Рецидив наблюдается примерно у 10% пациентов.
Пиогенная гранулёма
Пиогенная гранулёма — это воспалительное гиперпластическое поражение, возникающее в ответ на слабое хроническое раздражение, травму или гормональные факторы. Клинически проявляется как гладкое, экзофитное, красно-фиолетовое, легко кровоточащее образование на ножке или с широким основанием. Встречается в широком возрастном диапазоне, с наибольшей частотой во втором и пятом десятилетиях жизни, несколько чаще у женщин.
Пиогенная гранулёма при беременности (granuloma gravidarum, «опухоль беременности») чаще возникает в первом триместре и может сопровождаться затруднением приёма пищи и склонностью к кровоточивости.
Гистологически выделяют два варианта:
- дольчатая капиллярная гемангиома с дольчатым расположением сосудов;
- плотная сосудистая пролиферация, напоминающая грануляционную ткань.
Тактика лечения зависит от размеров и симптомов. Небольшие бессимптомные образования могут наблюдаться динамически. Более крупные поражения требуют хирургического иссечения до надкостницы с одновременным скейлингом соседних зубов. Также рекомендуется использование лазера Nd:YAG благодаря его коагулирующим свойствам. Во время беременности тщательная гигиена полости рта и регулярное удаление налёта помогают предотвратить развитие гранулемы. Частота рецидивов составляет около 16% и чаще связана с неполным удалением и сохраняющимися местными раздражителями.
Периферические одонтогенные опухоли
Периферические одонтогенные опухоли могут проявляться как экзофитные образования десны и напоминать другие поражения, например пиогенную гранулему. К ним относятся периферическая кальцифицирующая одонтогенная киста, периферическая кальцифицирующая эпителиальная одонтогенная опухоль и периферическая амелобластома. Последняя встречается чаще остальных и должна учитываться при оценке экзофитных образований десны.
Периферическая амелобластома обычно проявляется как медленно растущее образование десны с минимальным вовлечением подлежащей кости. Чаще возникает в области премоляров нижней челюсти, с небольшим преобладанием у мужчин. На рентгенограммах может наблюдаться волнистый контур; для уточнения границ поражения могут потребоваться КТ или МРТ. Несмотря на гистологическое сходство с центральной амелобластомой, периферическая форма менее агрессивна.
Рекомендуется хирургическое иссечение с захватом здоровых тканей. Необходим длительный (до 10 лет) послеоперационный контроль для своевременного выявления рецидивов.
Заключение
Периферическая оссифицирующая фиброма — это медленно растущее доброкачественное образование, которое клинически может имитировать другие реактивные или воспалительные поражения десны. В нашем случае анатомическая локализация (область премоляров нижней челюсти), возраст пациента (четвёртое десятилетие жизни) и демографические данные делают его нетипичным. Общими с ранее описанными случаями признаками были размеры (
Известно, что периферическая оссифицирующая фиброма имеет высокий уровень рецидивов (до 20%), и, вероятно, у нашего пациента, ранее перенёсшего удаление аналогичного образования, имел место рецидив. Некоторые из состояний, рассматриваемых в дифференциальной диагностике, требуют более агрессивного лечения и длительного наблюдения, что подчёркивает важность точной диагностики, основанной на тщательном клиническом и рентгенологическом обследовании и гистопатологическом анализе.
Источник Kiranmeet Kaur, DDS et al., «Asymptomatic unilateral gingival swelling», 2025
