58-летний мужчина обратился за консультацией по поводу элементов поражения на языке, появившихся около 5 месяцев назад. Он отмечал дискомфорт при разговоре, приёме пищи. В анамнезе — болезнь Крона (название принимаемого препарата вспомнить не смог), ВИЧ-инфекция. Пациент отрицал курение и употребление алкоголя.
При внутриротовом осмотре выявлены два очага, а именно утолщённые, кремово-белые бляшки с неровными контурами на правой боковой поверхности языка. Поражения не снимались при соскабливании и были болезненными при пальпации. Остальные ткани полости рта без патологических изменений.
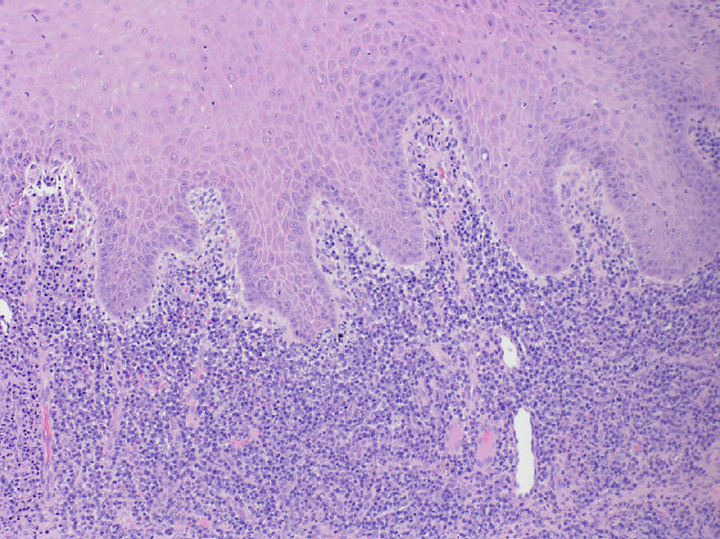
Была выполнена инцизионная биопсия. Гистологическое исследование выявило выраженную инфильтрацию соединительной ткани преимущественно плазматическими клетками, гиперплазию эпителия с сохранённым нормальным типом созревания.

Фото 1. При внутриротовом осмотре выявлены две утолщённые кремово-белые бляшки с неровными контурами на правой боковой поверхности языка

Фото 2. Микроскопическое исследование выявило выраженную инфильтрацию хроническими воспалительными клетками, преимущественно плазматическими клетками (окраска гематоксилином и эозином, увеличение ×100). Эпителий гиперплазирован, с сохранённым нормальным типом созревания
Диагностика
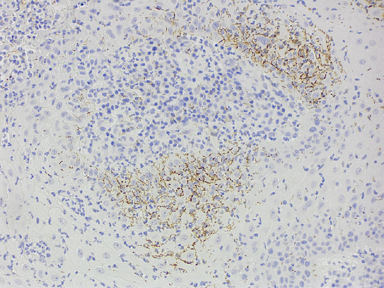
Наличие выраженной воспалительной инфильтрации может указывать на инфекционное заболевание, в частности сифилис. Было выполнено иммуногистохимическое окрашивание на Treponema pallidum, которое выявило большое количество спирохет в эпителии, что позволило установить диагноз сифилиса. С учётом клинических и гистологических данных, а также результатов иммуногистохимического исследования, поражения языка наиболее соответствуют бляшкам при вторичном сифилисе.
После обсуждения результатов биопсии с пациентом выяснилось, что в анамнезе у него был сифилис много лет назад, по поводу которого он проходил лечение. Однако название применявшихся препаратов пациент вспомнить не смог.

Фото 3. Иммуногистохимическое окрашивание выявило большое количество спирохет в пределах эпителия
Сифилис — инфекционное заболевание, вызываемое бактерией Treponema pallidum, которое преимущественно передаётся половым путём или вертикально — от матери плоду. Заболеваемость сифилисом неуклонно растёт с 2000 года, при этом с 2013 года отмечается выраженное увеличение числа случаев среди женщин репродуктивного возраста, что привело к росту частоты врождённого сифилиса. Вертикальная передача сифилиса возможна на любом сроке беременности через плаценту и может приводить к выкидышу, мертворождению или развитию тяжёлых врождённых пороков у новорождённого.
Сифилис классифицируют на три стадии: первичную, вторичную и третичную.
Первичный сифилис, как правило, проявляется одиночным поражением, шанкром. Обычно это безболезненная, плотная язва в месте проникновения спирохеты в организм. Поражение появляется через несколько дней или недель после инфицирования и часто сопровождается безболезненной регионарной лимфаденопатией.
Вторичный сифилис характеризуется папулёзной кожной сыпью и поражениями кожи и слизистых оболочек (включая широкие кондиломы, бляшки и папулы), нередко в сочетании с системными симптомами — недомоганием, утомляемостью, лихорадкой и болью в горле.
При отсутствии лечения вторичный сифилис может прогрессировать в третичный сифилис в течение до 30 лет после первичного инфицирования, приводя к потенциально летальным осложнениям со стороны сердечно-сосудистой и центральной нервной систем.
Препаратом первой линии в лечении сифилиса являются препараты пенициллинного ряда. Для ранних форм сифилиса рекомендовано однократное внутримышечное введение бензатин-бензилпенициллина либо внутримышечное введение прокаин-пенициллина ежедневно в течение 10 дней. При поздних стадиях сифилиса может потребоваться несколько доз препарата. Альтернативные схемы лечения включают пероральный приём доксициклина или внутримышечное либо внутривенное введение цефтриаксона в соответствии с рекомендациями. Пенициллин G остаётся наиболее безопасным препаратом для лечения сифилиса у беременных женщин.
Из-за разнообразия клинических проявлений сифилис часто называют «великим имитатором», поскольку он может напоминать многие другие заболевания, включая волосатую лейкоплакию полости рта, идиопатическую лейкоплакию, болезнь Крона, плоскоклеточный рак и эрозивную форму плоского лишая. В связи с ростом заболеваемости сифилисом данное заболевание следует учитывать в дифференциальной диагностике язвенных поражений и слизистых бляшек полости рта при соответствующих клинических условиях.
Гистологически преобладание плазматических клеток в составе хронического воспалительного инфильтрата позволяет заподозрить сифилис. Однако окончательный диагноз требует сопоставления клинической картины, социального и медицинского анамнеза пациента, гистологических данных и результатов серологического обследования. Сифилис относится к заболеваниям, подлежащим обязательной регистрации, и после установления диагноза должен быть сообщён в местные органы здравоохранения.
В представленном случае после подтверждения диагноза с помощью серологических тестов пациенту была выполнена инъекция пенициллина G, что привело к полному разрешению поражений языка.
Дифференциальная диагностика
Волосатая лейкоплакия полости рта (OHL)
Волосатая лейкоплакия полости рта обычно проявляется в виде белых очагов на слизистой оболочке боковой поверхности языка и является поражением, ассоциированным с вирусом Эпштейна–Барр (EBV). Чаще всего она встречается у пациентов с иммунодефицитными состояниями, такими как ВИЧ-инфекция и состояние после трансплантации органов, и нередко служит маркером выраженной иммуносупрессии.
В редких случаях OHL описана у иммунокомпетентных и ВИЧ-отрицательных пациентов, особенно у лиц, принимающих иммуномодулирующие препараты по поводу различных иммуновоспалительных заболеваний. Клинически поражение характеризуется слабо выраженными белыми вертикальными полосами, которые не снимаются при соскабливании, что отличает его от псевдомембранозного кандидоза. Помимо боковой поверхности языка, OHL редко может поражать слизистую оболочку щёк, мягкое нёбо, глотку или пищевод.
При микроскопическом исследовании часто выявляются койлоцитоподобные или баллонные клетки в шиповатом слое эпителия. Эти клетки инфицированы EBV и характеризуются выраженным просветлением цитоплазмы и ядра с маргинацией хроматина вследствие активной репликации вируса в ядре. Другие типичные гистологические признаки включают гиперкератоз с поверхностными складками и эпителиальную гиперплазию с сохранённым нормальным типом созревания. В собственной пластинке слизистой оболочки воспалительная инфильтрация отсутствует.
Поскольку данные признаки не являются строго специфичными для OHL, «золотым стандартом» диагностики считается выявление РНК EBV с помощью гибридизации in situ в сочетании с клиническими и гистологическими данными.
Лечение OHL обычно включает направление пациента к врачу для устранения причинного фактора или коррекции основного заболевания. Поражение является доброкачественным и не имеет риска злокачественной трансформации. Хотя лечение не является обязательным, в литературе описаны такие подходы, как хирургическое иссечение, криотерапия, применение ацикловира и местных ретиноидов.
В представленном случае OHL рассматривалась в дифференциальной диагностике на основании клинической картины (неснимаемые белые бляшки на боковой поверхности языка) и наличия ВИЧ-инфекции в анамнезе. Дополнительно учитывалась болезнь Крона, поскольку для её лечения часто применяются иммунодепрессанты и иммуномодуляторы, которые могут повышать восприимчивость к развитию OHL. Тем не менее гистологическая картина не соответствовала данному диагнозу.
Оральная эпителиальная дисплазия (OED)
В 2024 году Всемирная организация здравоохранения определила оральную эпителиальную дисплазию как «спектр гистологических и цитологических изменений эпителия», относящихся к группе потенциально злокачественных заболеваний полости рта и несущих риск трансформации в плоскоклеточный рак. OED может развиваться в любом отделе полости рта, однако боковая и вентральная поверхности языка, ретромолярная область и дно полости рта считаются зонами повышенного риска из-за более высокой вероятности злокачественной трансформации.
Клиническая картина OED вариабельна и может проявляться в виде белых (лейкоплакия), красных (эритроплакия) или смешанных красно-белых (эритролейкоплакия) изменений слизистой оболочки. Лейкоплакия определяется как «белая бляшка сомнительного онкориска после исключения других (известных) заболеваний и состояний, не ассоциированных с повышенным риском рака». Клинически она проявляется в виде белого пятна или бляшки, не поддающихся удалению при соскабливании.
Эритроплакия определяется как «ярко-красное пятно, которое клинически и патологически не может быть отнесено к другому определяемому поражению». Хотя эритроплакия встречается реже, чем лейкоплакия, она чаще ассоциируется с дисплазией и имеет более высокий риск злокачественной трансформации. Лейкоплакия, эритроплакия и эритролейкоплакия являются клиническими диагнозами и устанавливаются после исключения других поражений слизистой оболочки с известной этиологией. Поэтому биопсия остаётся «золотым стандартом» подтверждения наличия OED.
Гистологическая диагностика OED является сложной. В классификации опухолей ВОЗ представлен перечень изменений, используемых в качестве диагностических критериев. Отдельные признаки неспецифичны, однако их сочетание позволяет установить диагноз и степень дисплазии. Градация OED важна для прогноза и выбора тактики лечения, поскольку более высокая степень дисплазии ассоциируется с большим риском злокачественной трансформации.
Традиционно используется трёхступенчатая система (лёгкая, умеренная и тяжёлая дисплазия), основанная на глубине вовлечения эпителия. При лёгкой дисплазии атипия ограничена базальной третью эпителия, при умеренной распространяется до половины толщины эпителия, а при тяжёлой поражает всю его толщину. Альтернативой является бинарная система (низкий и высокий риск), предложенная для снижения вариабельности и повышения воспроизводимости диагностики. В данной системе учитывается общее количество гистологических изменений: поражения низкого риска характеризуются наличием менее 4 гистологических и менее 5 цитологических признаков.
Вопрос о превосходстве бинарной системы над классификацией ВОЗ в прогнозировании риска злокачественной трансформации остаётся открытым: результаты систематического обзора и метаанализа 2021 года оказались противоречивыми. Кроме того, предпринимались попытки использования молекулярных маркеров и компьютерного анализа для прогнозирования прогрессирования OED, однако значимой корреляции выявлено не было. Таким образом, градация OED по-прежнему остаётся предметом дискуссий.
Лечение OED может быть как нехирургическим, так и хирургическим. Нехирургический подход включает динамическое наблюдение и повторные биопсии и обычно применяется при лёгкой дисплазии. При умеренной и тяжёлой дисплазии чаще используется хирургическое лечение. Для иссечения поражений применяются скальпель, лазер и криотерапия. Независимо от выбранного метода лечения, прогнозирование рецидива или трансформации в плоскоклеточный рак остаётся затруднительным. Поэтому рекомендуется длительное клиническое наблюдение не менее 20 лет, а по мнению некоторых авторов — пожизненное.
В данном клиническом случае утолщённые кремово-белые поражения языка напоминали лейкоплакию и позволяли заподозрить OED, однако гистологические данные не подтверждали этот диагноз.
Гиперпластический кандидоз
Гиперпластический кандидоз — форма кандидозной инфекции, проявляющаяся в виде одиночной белой бляшки, не поддающейся удалению при соскабливании. Чаще развивается у пациентов с иммунодефицитными состояниями и нередко локализуется в области углов рта, на языке и слизистой оболочке щёк. Как и при других формах орального кандидоза, наиболее частым возбудителем является Candida albicans.
При гиперпластическом кандидозе инфекция стимулирует развитие гиперкератоза эпителия, вследствие чего поражение клинически неотличимо от лейкоплакии. Диагноз кандидоза обычно устанавливается на основании цитологического мазка, микологического посева или микроскопического исследования. При окраске гематоксилином-эозином и реакцией ШИК (PAS) часто выявляются гифы или псевдогифы, проникающие в роговой слой эпителия. Дополнительные гистологические признаки включают акантоз, паракератоз и воспалительную инфильтрацию эпителия и собственной пластинки слизистой оболочки.
Преимуществом микроскопической диагностики является возможность одновременного исключения эпителиальной дисплазии или карциномы, которые могут сочетаться с кандидозом. Лечение кандидоза проводится с использованием местных или системных противогрибковых препаратов. Хирургическое лечение возможно, но должно рассматриваться только при гиперпластическом кандидозе, резистентном к противогрибковой терапии. Несмотря на ограниченность доказательств, некоторые авторы предполагают, что хронический гиперпластический кандидоз может иметь потенциал злокачественной трансформации и, следовательно, требует тщательного динамического наблюдения.
В представленном случае ВИЧ-инфекция и болезнь Крона в анамнезе указывали на возможное иммунодефицитное состояние, что повышало риск кандидозной инфекции. Однако при гистологическом исследовании грибковые элементы обнаружены не были, в связи с чем гиперпластический кандидоз был исключён.
Заключение
Белая бляшка на боковой поверхности языка требует обязательного обследования, поскольку данная локализация является частым местом развития злокачественных и предраковых поражений. Такие состояния, как волосатая лейкоплакия, кандидоз и сифилис, также могут отражать состояние иммунной системы пациента и требуют тщательной клинико-анамнестической корреляции.
В представленном случае постановка диагноза сифилиса потребовала высокой клинической настороженности ввиду неспецифичности клинических и гистологических проявлений. Крайне важно, чтобы клиницисты хорошо понимали характерные признаки заболеваний, входящих в дифференциальную диагностику, и последовательно исключали их на основании социального и медицинского анамнеза пациента, данных гистологического исследования и результатов клинических и серологических тестов.
По материалам Junyan Ge, BA; Khanh Trinh, DMD; Scott M. Peters, DDS «White ventral-lateral tongue lesions in a 58-year-old man», 2025

Спасибо! Эффект просто отличный!) Вспомнила многие заболевания!))
Уже не работаю ( на пенсии), но всегда с вами.:))
Очень хорошая статья. Все подробно, понятно, доступно. О дифференциальной диагностике. Спасибо.