Обновлённые рекомендации по лечению рецессии, ассоциированной с некариозными пришеечными поражениями. Часть 2

Вопрос о выборе тактики ведения некариозных пришеечных поражений (NCCL) подробно обсуждался в 1 части.

Процесс принятия решений при наличии некариозных дефектов

На основании классификации, предложенной Pini-Prato в 2010 году, а также современных литературных данных, при наличии рецессии типа 1 (RT1) следует учитывать следующее:

Поверхность зуба A−

В данной клинической ситуации рецессия десны (GR) сопровождается визуализируемой цементо-эмалевой границей (CEJ) без выраженной ступеньки, поскольку поверхность корня имеет лишь поверхностный (если вообще имеется) дефект глубиной менее 0,5мм.

Следовательно, оптимальным методом лечения является хирургическое вмешательство, направленное на покрытие корня, с учётом пародонтального фенотипа пациента. Дополнительных вмешательств не требуется, за исключением тщательной очистки поверхности зуба перед операцией.

Поверхность зуба A+

В данном клиническом контексте рецессия десны сочетается с NCCL, ограниченным поверхностью корня, при этом вероятность полного покрытия мягкими тканями после операции высока. CEJ и пришеечная эмаль остаются интактными.

Рекомендуется подход «биологической реставрации». Данная методика включает размещение тонкого соединительнотканного трансплантата (CTG), либо других трансплантационных материалов (в зависимости от фенотипа) для заполнения остаточного дефекта после тщательного сглаживания поверхности корня в сочетании с процедурой коронально смещённого лоскута (CAF).

Поверхность зуба B−

В рассматриваемой клинической ситуации рецессия десны сопровождается неглубоким некариозным пришеечным поражением, распространяющимся как на поверхность корня, так и на анатомическую коронку. В результате CEJ становится неидентифицируемой, однако выраженной ступеньки в области дефекта не наблюдается.

В этом случае возможны две основные терапевтические стратегии:

  1. Мукогингивальный хирургический подход, направленный исключительно на достижение покрытия корня. Учитывая минимальные анатомические изменения при неглубоком NCCL, обнажённая поверхность обычно обеспечивает благоприятные условия для адаптации лоскута или размещения трансплантата. Кроме того, данные литературы свидетельствуют, что процедуры покрытия корня и аугментации мягких тканей могут предотвращать возникновение или прогрессирование NCCL.
  2. Комбинированный реставрационно-пародонтологический подход.

В этом случае сначала выполняется реставрация для восстановления утраченной эмали, реконструкции CEJ и примерно 1 мм структуры корня. После этого проводится процедура покрытия корня.

Такой комбинированный подход может быть особенно показан пациентам с выраженной гиперчувствительностью дентина (при неэффективности других методов лечения), обусловленной обнажением коронкового дентина — участков, которые невозможно адекватно закрыть только методами покрытия корня.

Поверхность зуба B+

Случаи B+ характеризуются сочетанием рецессии десны с глубоким NCCL, вовлекающим как поверхность корня, так и анатомическую коронку. CEJ становится неразличимой, а по корональному и апикальному краям дефекта часто наблюдаются выраженные ступени.

Этот тип поражения представляет одну из наиболее сложных клинических ситуаций и требует комплексного междисциплинарного подхода, включающего как реставрационные, так и мукогингивальные вмешательства.

Наиболее коронковая часть дефекта может быть восстановлена до операции. Обычно рекомендуется восстановить утраченную эмаль и продлить реставрацию примерно на 1 мм апикальнее предполагаемого положения CEJ, частично реконструируя поверхность корня, как обсуждалось ранее. После реставрационного этапа выполняется процедура покрытия корня, при этом выбор хирургической методики определяется анатомическими особенностями участка и фенотипом пациента.

Важно отметить, что выполнение реставрации до операции не только оптимизирует структурную основу для адаптации лоскута, но и улучшает формирование мягких тканей в процессе заживления. Наличие реставрации может способствовать формированию физиологичного, фестончатого контура десневого края, тем самым улучшая эстетический результат.

V-образные NCCL (A+ или B+)

V-образные дефекты рассматриваются отдельно, поскольку они имеют специфические характеристики и требуют особого подхода. Обычно такие поражения характеризуются значительной вестибуло-пульпарной глубиной при ограниченной апико-коронковой высоте, часто с соотношением глубины к высоте, близким к 1. В подобных случаях край десны может коллабировать внутрь глубокого дефекта, а корональная ступень остаётся открытой, что затрудняет гигиену. В связи с этим реставрация часто показана прежде всего из-за глубины поражения.

Однако при V-образных дефектах протоколы частичной реставрации (на уровне CEJ или с продлением на 1мм апикально) нередко требуют значительного скоса краёв (beveling), что может привести к неоправданному удалению интактных тканей зуба.

Более того, недавний регрессионный анализ продемонстрировал отрицательную корреляцию между глубиной поражения и результатами покрытия корня при лечении глубоких дефектов с частичными реставрациями. Иными словами, чем глубже дефект, тем хуже достигаемое покрытие.

Вероятно, это связано с неблагоприятным профилем выхода (emergence profile), формируемым частичными реставрациями в глубоких дефектах. Часто создаётся наклонная плоскость, которая может смещать мягкие ткани апикально, тем самым ухудшая степень покрытия.

При наличии рецессии RT2 известно, что частичное покрытие корня возможно, однако полное покрытие непредсказуемо. Поэтому при комбинированных дефектах (CD) с рецессией типа RT2 протокол реставрации должен предусматривать оценку максимально возможного уровня покрытия корня (MRC) для каждого конкретного случая и продление апикального края реставрации на 1мм ниже этого уровня.

Такой подход может снизить риск образования щели между апикальным краем реставрации и краем мягких тканей (неполное покрытие) после периода заживления.

Вид поверхности зуба типа A− и A+

Рис 1 (A-E). Алгоритм принятия решений при лечении некариозных пришеечных поражений (NCCLs) в комбинированных дефектах (CDs)
(A, B) Вид поверхности зуба типа A−. Рецессия десны характеризуется визуализируемой цементо-эмалевой границей (CEJ) без ступеньки. Следовательно, показана хирургическая процедура покрытия корня с учётом гингивального фенотипа пациента. Дополнительных вмешательств, кроме тщательной очистки поверхности зуба перед операцией, не требуется. (C–E) Вид поверхности зуба типа A+. NCCL затрагивает только поверхность корня. CEJ интактна. Рекомендуется подход «биологической реставрации»

Вид поверхности зуба типа B−

Рис 1 (F-H). Алгоритм принятия решений при лечении некариозных пришеечных поражений (NCCLs) в комбинированных дефектах (CDs). (F–H) Вид поверхности зуба типа B−. Неглубокое NCCL распространяется на коронковую и корневую поверхности без формирования ступеньки. В большинстве случаев следует рассматривать только хирургическое покрытие корня с учётом локальной анатомии. При выраженной гиперчувствительности дентина возможно применение комбинированного реставрационно-пародонтологического подхода либо проведение лечения гиперчувствительности после хирургического вмешательства

Вид поверхности зуба типа B+

Рис 1 (I-K). Алгоритм принятия решений при лечении некариозных пришеечных поражений (NCCLs) в комбинированных дефектах (CDs). (I–K) Вид поверхности зуба типа B+. Имеется глубокое NCCL, затрагивающее как коронковую, так и корневую поверхности; определяется ступенька по корональному краю дефекта. В данной ситуации показан междисциплинарный подход, включающий как реставрационные, так и хирургические процедуры покрытия корня. Реставрация по протоколу CEJ+1 мм должна выполняться до хирургического этапа, который выбирается в соответствии с состоянием мягких тканей

Вид V-образных поражений: A+ (L) и B+ (M).

Рис 1 (L-O). Алгоритм принятия решений при лечении некариозных пришеечных поражений (NCCLs) в комбинированных дефектах (CDs). (L–O) Вид V-образных поражений: A+ (L) и B+ (M). V-образные NCCL обычно характеризуются значительной вестибуло-пульпарной глубиной при ограниченной апико-коронковой высоте, часто с соотношением глубины к высоте, близким к 1. В случаях A+ или B+ V-образных дефектов следует рассматривать полную реставрацию NCCL для сохранения тканей зуба и формирования более благоприятного, гармоничного профиля выхода

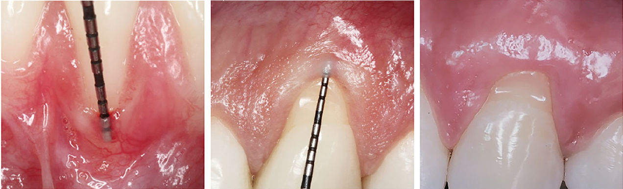
Типичный случай рецессии десны RT1 и некариозного пришеечного поражения B+

Рис 2. Типичный случай рецессии десны RT1 и некариозного пришеечного поражения B+. (A, B) Исходная клиническая картина. Схематическое определение границ реставрации. (C) Чёрная фестончатая линия обозначает предполагаемое расположение цементо-эмалевой границы (CEJ), красная фестончатая линия — апикальный край реставрации, расположенный до 1мм апикальнее предполагаемой CEJ. (D) Вид после завершения реставрационного этапа.(E) Боковой вид реставрации после отслаивания лоскута. Обратите внимание, что профиль выхода восстановлен. (F) Апикальная ступень NCCL уменьшена после одонтопластики. (G) Соединительнотканный трансплантат (CTG) фиксирован швами. (H) Вид через 1 год наблюдения

Типичный случай рецессии десны RT1 и NCCL типа B+ с 7-летним периодом наблюдения

Рис 3. Типичный случай рецессии десны RT1 и NCCL типа B+ с 7-летним периодом наблюдения. (A) Исходная картина комбинированного дефекта (CD). (B) Реконструкция пришеечной части NCCL по реставрационному протоколу CEJ+1 мм. Обратите внимание на плавный профиль выхода. (C) Вид через 1 год после выполнения коронально смещённого лоскута (CAF) в сочетании с CTG. Отмечается фестончатый контур десневого края. (D) Стабильность результата через 7 лет наблюдения

Типичный случай V-образного некариозного пришеечного поражения

Рис 4. Типичный случай V-образного некариозного пришеечного поражения (NCCL). V-образные поражения обычно характеризуются выраженной вестибуло-пульпарной глубиной при ограниченной апико-коронковой высоте, часто с соотношением глубины к высоте, близким к 1. Частичные реставрации при таких NCCL могут быть нецелесообразны

Процесс принятия решений при рецессии десны

В данном обзоре представлен алгоритм принятия решений по управлению мягкими тканями, который ранее не публиковался. Модификация фенотипа мягких тканей является ключевой целью для обеспечения долгосрочной стабильности лечения рецессии десны (GR). Было показано, что для поддержания стабильности десневого края во времени важны не только наличие кератинизированной ткани (KT), но и толщина десны (GT), достигнутая после процедуры покрытия корня.

Продемонстрировано, что GT более 1,44мм ассоциирована с полным покрытием корня,а также что GT более 1,47мм, достигнутая через 6 месяцев, связана с наибольшей вероятностью стабильности мягкотканного края в течение 10 лет.

Следовательно, мягкотканные трансплантаты используются совместно с лоскутной техникой для обеспечения как минимум 2мм KT и 1,5мм GT с целью достижения долгосрочной стабильности.

Хотя существующие данные основаны на исследованиях GR без NCCL и отсутствует литература, специально посвящённая комбинированным дефектам (CD: GR в сочетании с NCCL), эти знания могут быть применены с определёнными оговорками.

Желательно наличие не менее 2мм кератинизированной ткани для предотвращения прогрессирования GR и обеспечения долгосрочной стабильности.

Согласно литературным данным, соединительнотканный трансплантат (CTG) является наиболее эффективным методом увеличения KT по сравнению с лоскутной техникой без трансплантата (прирост 1,09мм), за ним следует аллогенная дермальная матрица (прирост 0,47мм). Коллагеновые матрицы обеспечивают меньший эффект — около 0,25мм по сравнению с лоскутом без трансплантата. Следовательно, если в области CD исходно присутствует менее 2 мм KT, CTG является оптимальным выбором. Если же KT близка к 2мм или превышает это значение, но при этом требуется увеличение толщины десны, могут быть использованы мягкотканные заместители.

Как отмечалось ранее, GT более 1,44мм через 6 месяцев достоверно ассоциирована с полным покрытием корня. Частично восстановленные CD могут демонстрировать иной прирост GT по сравнению с участками GR с интактной поверхностью зуба. Поскольку восстанавливается только наиболее коронковая часть NCCL, трансплантат апикальнее реставрации располагается над необработанной вогнутой поверхностью. Эта анатомическая особенность может способствовать поддержанию пространства и, соответственно, увеличению толщины мягких тканей.

В недавнем исследовании было показано, что коллагеновая матрица обеспечивала прирост GT 0,7 ± 0,2мм при CD, тогда как в зонах GR без NCCL прирост составлял лишь 0,4мм.

Тем не менее данные следует интерпретировать с осторожностью, поскольку необходимы дополнительные исследования для подтверждения этих результатов.

Cairo и соавт. продемонстрировали, что как коронально смещённый лоскут (CAF) в моноварианте, так и в комбинации с CTG обеспечивают благоприятные результаты при лечении частично восстановленных CD. Однако было также показано, что при использовании CTG в участках с исходной GT более 0,84мм наблюдались более низкие эстетические показатели.

Таким образом, три ключевых параметра — KT, GT и эстетика — должны тщательно оцениваться при принятии решения о необходимости трансплантации и выборе типа трансплантата.

На основании представленных данных следует учитывать следующее:

  1. При отсутствии KT или при её ширине < 2,0мм CTG является методом выбора независимо от исходной GT.
  2. При исходной KT ≥ 2,0мм Тактика определяется значением GT:
    • GT < 0,8мм. В данной ситуации CTG обязателен, поскольку это единственный метод, способный увеличить GT до 1,5мм и повысить вероятность полного покрытия корня с долгосрочной стабильностью при крайне тонком фенотипе.
    • 0,8 < GT < 1,5мм. Если исходная GT превышает 0,8мм, но менее 1,5мм, её всё равно необходимо увеличить до приблизительно 1,5мм по тем же причинам. Однако применение CTG может ухудшить эстетический результат. В этом случае возможно использование мягкотканных заместителей, которые способны обеспечить прирост GT 0,4–0,7мм в зонах CD.
    • GT ≥ 1,5мм.

Может быть рекомендован подход без трансплантации благодаря достаточной толщине мягких тканей.

Следует подчеркнуть, что данный алгоритм выбора трансплантации должен интерпретироваться с осторожностью, поскольку необходимы дополнительные исследования для прямой оценки указанных клинических сценариев (GT < 0,8мм; 0,8 < GT < 1,5мм; GT ≥ 1,5мм) и определения оптимального подхода для каждого случая.

Хотя большинство исследований лечения CD использовали CAF или модифицированный коронально смещённый лоскут (MCAF) в качестве предпочтительной хирургической техники, необходимы дальнейшие исследования для определения наиболее эффективного метода именно для CD.

Тем не менее хирургические принципы и методики, разработанные для лечения GR на интактных поверхностях корня, могут быть корректно применены и в данных клинических ситуациях.

Ультразвуковая характеристика пародонтальных структур передних зубов верхней челюсти

Рис 5. (A) Ультразвуковая характеристика пародонтальных структур передних зубов верхней челюсти с комбинированными дефектами (CD), включающими рецессии десны и NCCL.Нижние панели демонстрируют ультразвуковые (US) сканы, полученные в срединно-вестибулярной области передних верхнечелюстных зубов: «CB» — альвеолярный гребень кости; «CD» — зона комбинированного дефекта (включая NCCL и рецессию); «Cr» — клиническая коронка; «R» — корень.
Мягкотканный компонент выделен синим цветом. Все участки классифицированы как A+ или B+ (Pini Prato и соавт., 2010) из-за наличия клинически определяемых ступенек, что дополнительно подтверждено высокочастотной ультразвуковой визуализацией

Типичный случай RT1 и NCCL типа A+

Рис 5. (B–E) Типичный случай RT1 и NCCL типа A+:
(A — рисунок выше) до и (B) после процедуры покрытия корня. (C) Ультразвуковое изображение на исходном этапе, отображающее альвеолярный гребень (CB), цементо-эмалевую границу (CEJ) и вогнутость комбинированного дефекта. (E) Толщина мягких тканей (синяя зона) в области CD. Данная анатомическая особенность могла способствовать поддержанию пространства и, соответственно, увеличению толщины мягких тканей

Алгоритм принятия решений при лечении рецессионного компонента в комбинированных дефектах

Рис 6. Алгоритм принятия решений при лечении рецессионного компонента в комбинированных дефектах (CD).
(Слева) При отсутствии кератинизированной ткани (KT) или при KT < 2,0мм и толщине десны (GT) < 0,8мм соединительнотканный трансплантат (CTG) обязателен, поскольку это единственный метод, позволяющий увеличить GT до 1,5мм и одновременно увеличить KT
(Середина) При 0,8 < GT < 1,5мм необходимо улучшение GT до уровня около 1,5мм. В данной ситуации может быть использован либо тонкий CTG, либо мягкотканный заместитель
(Справа) При GT ≥ 1,5мм возможна тактика без трансплантации

Дополнительные аспекты при выборе тактики лечения

Перед началом лечения пациент должен быть информирован о возможных этиологических факторах, способствующих развитию GR и NCCL.

Эти факторы должны быть выявлены и по возможности устранены, контролированы или минимизированы. Пациентам необходимо предоставить рекомендации по правильной атравматичной технике чистки зубов.

Следует обсудить факторы, влияющие на уровень pH в полости рта, включая пищевые привычки, поведенческие особенности и профессиональные воздействия, и дать соответствующие рекомендации.

Также рекомендуется проведение окклюзионного анализа с особым вниманием к выявлению и коррекции интерференций или окклюзионных перегрузок, которые могут негативно влиять на стабильность и долговечность реставраций NCCL.

В настоящее время при лечении NCCL в зонах GR используются две основные стратегии:

  1. Частичные реставрации (на уровне CEJ или с продлением на 1мм апикально — CEJ+1мм).
  2. Полные реставрации, покрывающие весь объём NCCL.

Помимо ранее обсуждённых преимуществ частичной реставрации CEJ+1 мм (улучшенный профиль выхода и более высокая вероятность перекрытия апикального края при неполном покрытии корня), данный протокол имеет и биомеханические преимущества. Он, как правило, перекрывает наиболее глубокую часть NCCL. Анализ методом конечных элементов показал, что при включении этой глубокой зоны окклюзионная нагрузка распределяется более равномерно, что может снижать риск дебондинга и увеличивать долговечность реставрации.

Обширные исследования в области реставрационной стоматологии изучали различные адгезивные системы и материалы для полной реставрации NCCL. Среди них стеклоиономерные цементы, модифицированные смолой, и материалы на основе стеклоиономеров продемонстрировали наименьшие ежегодные показатели неудач. Тем не менее композитные материалы чаще предпочитаются благодаря лучшим эстетическим характеристикам и благоприятным механическим свойствам. Описан также клинический случай применения непрямой реставрации CAD/CAM.

Следует подчеркнуть, что адгезивная система, а не сам композит, играет более значимую роль в определении долговечности и успеха реставрации. Это подчёркивает критическую важность правильного выбора и применения адгезивного протокола. Кроме того, систематический обзор показал, что использование коффердама достоверно влияет на долговечность реставраций NCCL.

Необходимо отметить ограничения данного обзора. Ограниченное количество исследований, выполненных различными исследовательскими группами, не позволило провести систематический обзор высокого качества.

Соответственно, данная работа должна рассматриваться как клинико-ориентированная, основанная на доказательствах концептуальная модель, предназначенная для помощи практикующим врачам в принятии решений при лечении CD. Требуются дополнительные исследования для определения наиболее эффективных подходов с точки зрения эстетики и предпочтений пациентов. Необходимы также высококачественные исследования для разработки формальных клинических рекомендаций уровня S3.

Заключение

Комбинированные дефекты (CD) характеризуются одновременным наличием рецессии десны (GR) и некариозного пришеечного поражения. Хотя большинство CD могут быть успешно лечены только хирургическими методами мягкотканной коррекции, примерно в 24% случаев требуется междисциплинарный подход.

Выбор реставрационного протокола должен определяться топографией, глубиной и протяжённостью NCCL, а именно затрагивает ли дефект только корень или и корень, и коронку. В свою очередь, выбор хирургической тактики должен учитывать локальные анатомические особенности, общее состояние пациента и его гингивальный фенотип.

По материалам Mauro Pedrine Santamaria et al., “An updated evidence-based recommendation for the treatment of gingival recession associated with non-carious cervical lesions”, 2025

Добавить комментарий